تانىم • 12 اقپان, 2025

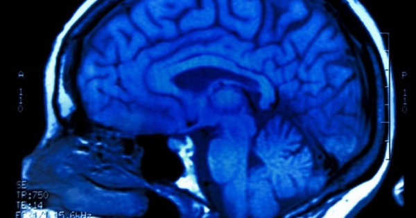
عالام عاجاپتارى: ميدىڭ جاڭا قاباتى

60 رەت
كورسەتىلدى
1 مين
وقۋ ءۇشىن

عالىمدار ادام ميىنىڭ قۇرى­لىمىنا قاتىستى تاڭعالارلىق جاڭالىق اشىپ, بۇرىن بەل­گىسىز بولىپ كەلگەن جۇقا قاباتتى انىق­تادى.

عالام عاجاپتارى: ميدىڭ جاڭا قاباتى

بۇل قابات ميدىڭ سىرتقى قىرتىسى مەن ىشكى قۇرىلىمدارى اراسىندا ورنا­لاسقان جانە ونىڭ نەيروندىق بايلانىس­تاردى رەتتەۋگە قاتىساتىنى بايقالعان. زەرتتەۋشىلەر بۇل جاڭالىقتىڭ التسگەيمەر, پاركينسون سياقتى نەۆرولوگيا­­لىق ­اۋرۋلاردى ەمدەۋدە جاڭا مۇمكىندىك ­تۋ­عىزۋى عاجاپ ەمەس.

 

دايىنداعان –

ەرلان كيىكباي,

ل.ن.گۋميلەۆ اتىنداعى ەۇۋ ستۋدەنتى

سوڭعى جاڭالىقتار

قايتا تۇلەگەن سپورتتىق ينفراقۇرىلىم

ۋنيۆەرسيتەت • بۇگىن, 08:12

جي-اۆاتار

عالام عاجاپتارى • بۇگىن, 08:10

ءبىلىم نىساندارىن ارالادى

ايماقتار • بۇگىن, 08:03

روبوت-پوليتسيا

عالام عاجاپتارى • بۇگىن, 08:00

جەدەل جاردەم اۆتوپاركى جاڭاردى

ايماقتار • بۇگىن, 07:55

بۇيىرماعان قازى

ەڭ قىسقا اڭگىمە • بۇگىن, 07:50

سيرەك اڭدارمەن تولىقتى

الماتى • بۇگىن, 07:45

جارىس كۇندەلىگى

سپورت • بۇگىن, 07:35

ايان

عالام عاجاپتارى • بۇگىن, 07:30