مەديتسينا • 26 ماۋسىم, 2021

ءبىر تاۋلىكتە كوروناۆيرۋس پەن پنەۆمونيادان 17 ادام قايتىس بولدى

161 رەت
كورسەتىلدى
1 مين
وقۋ ءۇشىن

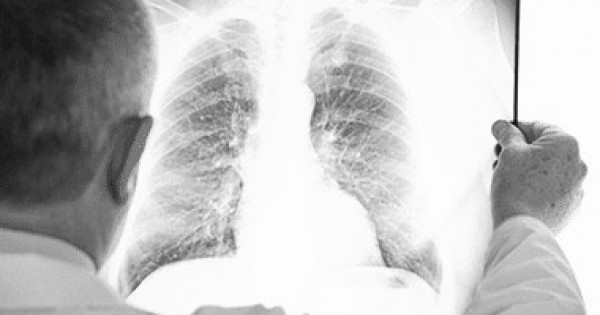
قازاقستاندا كوروناۆيرۋس پەن كوروناۆيرۋس پنەۆمونياسىنان تاعى 17 ادام قايتىس بولدى, دەپ حابارلايدى Egemen.kz.

ەلىمىزدە كوروناۆيرۋس ينفەكتسياسىنىڭ بەلگىلەرى بار پنەۆمونيانىڭ 54 وقيعاسى جانە 3 ءولىم جاعدايى تىركەلدى. وعان قوسا 49 ادام ەمدەلىپ شىقتى, 1 تامىزدان بۇگىنگە دەيىن بارلىعى: سىرقاتتاندى – 56840 ادام, قايتىس بولدى – 981, جازىلىپ شىقتى 52098 ناۋقاس.

سونداي-اق دەنساۋلىق ساقتاۋ مينيسترلىگىنىڭ اقپاراتىنا سايكەس, 24 ماۋسىمدا ەل وڭىرلەرىندە كوروناۆيرۋستان 14 ادام كوز جۇمدى.

جالپى, 2020 جىلدىڭ 13 ناۋرىزىنان 2021 جىلدىڭ 25 ماۋسىمىنا دەيىن كوروناۆيرۋس 416 442 ادامنان انىقتالدى, قايتىس بولدى – 4295 ناۋقاس. اتالمىش ۋاقىت ارالىعىندا كوروناۆيرۋس ينفەكتسياسىنىڭ بەلگىلەرى بار پنەۆمونياعا 56 840 ادام شالدىقتى, قايتىس بولدى – 3440 ناۋقاس.

سوڭعى جاڭالىقتار