الەم • 25 شىلدە, 2017

الەمدە كومپانيالار قىزمەتكەرلەرىنە ميكروچيپ ەندىرۋدە

270 رەت
كورسەتىلدى
1 مين
وقۋ ءۇشىن

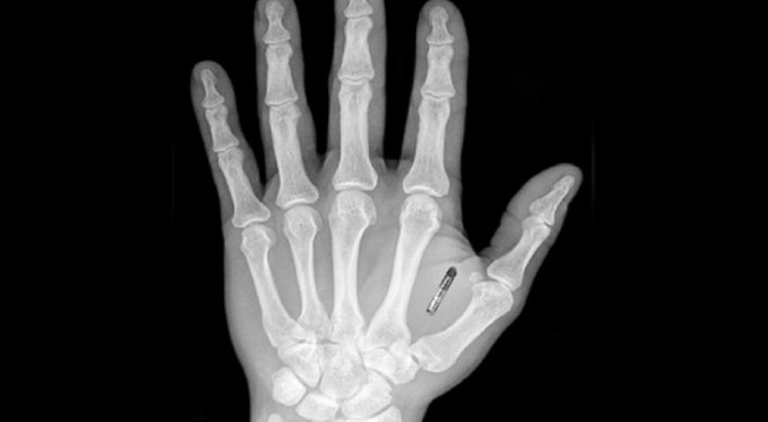
​​​​​​​امەريكالىق Three Square Market پەن شۆەدتىك Epicenter كومپانيالارى قىزمەتكەرلەرىنىڭ قولىنا ميكروچيپتەر ەندىرگەن.

الەمدە كومپانيالار قىزمەتكەرلەرىنە ميكروچيپ ەندىرۋدە

TheVerge باسىلىمىنىڭ حابارلاۋىنشا, بۇل شارا وفيس-قىزمەتكەرلەرىنىڭ ءومىرىن جەڭىلدەتۋ ءۇشىن ويلاپ تابىلعان. ەندىگى ولار قولىن ءبىر سەرمەۋ ارقىلى وفيستەگى بارلىق ەسىكتەردى اشىپ, تۇسكى اسىن الىپ, پرينتەردەن قاعازدارىن باسىپ شىعارا الادى.

كومپانيا باسشىسى تودد ۋەستبيدىڭ ايتۋى بويىنشا, اقش-تا بۇل تەحنولوگيانى العاش بولىپ قولدانۋعا Three Square Market شەشىم قابىلدادى. ولشەمى كۇرىش دانىمەن بىردەي ميكروچيپتى باس بارماق پەن سۇق ساۋساق اراسىنا ورنالاستىرادى. چيپتەۋگە قىزمەتكەرلەر ءوز ەركىمەن عانا قاتىسۋدا. Three Square Market ۆيتسە-پرەزيدەنتى توني داننانىڭ پايىمداۋىنشا, 85 قىزمەتكەردىڭ 50-ءى كەلىسىم بەرىپتى.

ال شۆەدتىك Epicenter كومپانياسىندا 150 كيبورگ-قىزمەتكەر جۇمىس ىستەۋدە. ولار ولشەمى 2 سانتيمەتر NFS-چيپتەرىن قوندىرىپ العان. بۇل ميكروچيپتەردىڭ ارتىقشىلىعى – جۇمىس بارىسىندا كومەكتەسۋمەن قاتار, ادامنىڭ دەنساۋلىعى جايلى مەديتسينالىق اقپاراتتار جينايدى. ول يەسىنىڭ قايدا باراتىنىن جانە قانداي تاعام قابىلدايتىنىن ەسكەرىپ وتىرادى.

كومپانيا قىزمەتكەرلەرى مەن باسشىلارىنىڭ ايتۋىنشا, ميكروچيپ ورناتقاننان كەيىن پلاستيكالىق كارتالار مەن كىلتتەردىڭ ەش قاجەتتىلىگى بولماي قالدى. ال  «چيپتەلگەن» قىزمەتكەرلەر ازىرگە چيپ ورناتپاعان ارىپتەستەرىن جاڭا ۇردىسكە قوسىلۋعا شاقىرۋدا.

سوڭعى جاڭالىقتار